Close Menu

    Subscribe to Updates

    Get the latest creative news from FooBar about art, design and business.

    What's Hot

    Although data are limited, the risk of bladder toxicity in psychiatric ketamine patients appears to be low

    April 12, 2026

    Low doses of LSD alter emotional brain responses in patients with mild depression

    April 12, 2026

    Narcissistic traits are linked to brain regions responsible for emotional control

    April 12, 2026
    Facebook X (Twitter) Instagram
    Facebook X (Twitter) Instagram
    Health Magazine
    • Home
    • Environmental Health
    • Health Technology
    • Medical Research
    • Mental Health
    • Nutrition Science
    • Pharma
    • Public Health
    • Discover
      • Daily Health Tips
      • Financial Health & Stability
      • Holistic Health & Wellness
      • Mental Health
      • Nutrition & Dietary Trends
      • Professional & Personal Growth
    • Our Mission
    Health Magazine
    Home » News » New target CD43 may improve outcomes of leukemia immunotherapy
    Discover

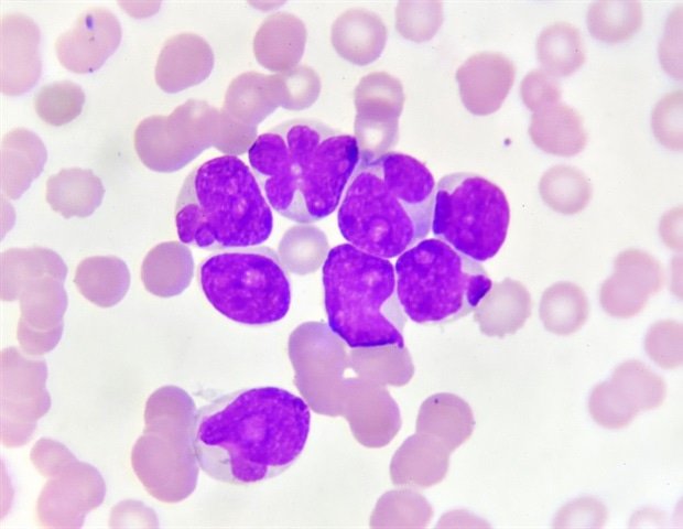
    New target CD43 may improve outcomes of leukemia immunotherapy

    healthadminBy healthadminApril 11, 2026No Comments2 Mins Read
    New target CD43 may improve outcomes of leukemia immunotherapy
    Share
    Facebook Twitter Reddit Telegram Pinterest Email



    Macrophages, much like Alice in “Alice in Wonderland,” recognize and consume tumor cells that display surface markers that say “eat me.” However, if tumor cells can successfully emit a “don’t eat me” signal, they can evade detection by macrophages. To combat this, researchers have developed drugs aimed at turning off these “don’t eat me” signals. However, these treatments are not as effective as hoped for patients with acute myeloid leukemia (AML) and other blood cancers. To better understand why, a team of researchers from Massachusetts General Brigham, Dana-Farber Cancer Institute, the Massachusetts Institute of Technology and Harvard University’s Broad Institute examined samples taken from patients treated for AML at Massachusetts General Brigham. The team was led by Jooho Chung, MD, PhD, Mounica Vallurupalli, MD, Todd Golub, MD, and Robert Manguso, MD.

    The research team conducted a genome-wide loss-of-function screen of AML cell lines, systematically turning off individual genes and cataloging genes that influence detection by macrophages. Surprisingly, the classical CD47 “don’t eat me” signal was only weakly effective. Instead, the researchers found that another signal, CD43, had a much stronger effect on macrophage detection. Their findings suggest that CD43-targeted therapies may hold promise for treating AML patients and potentially a wider range of cancers.

    sauce:

    Reference magazines:

    Chung, J. Others. (2026). Sialylated CD43 forms a glycoimmune barrier that suppresses anti-leukemic immunity. Science. DOI: 10.1126/science.ady5196. https://www.science.org/doi/10.1126/science.ady5196



    Source link

    Visited 1 times, 1 visit(s) today
    Share. Facebook Twitter Pinterest LinkedIn Telegram Reddit Email
    Previous ArticleStudy finds that playing drums with friends increases oxytocin levels in children
    Next Article Your nose may be able to detect Alzheimer’s disease years before symptoms start
    healthadmin

    Related Posts

    Genetic mutations may make common diabetes drugs less effective

    April 12, 2026

    Timing of weight gain affects long-term health outcomes

    April 11, 2026

    Letrozole monotherapy underperforms in clinical trials for ovarian cancer

    April 11, 2026

    Nanodisc technology improves research on viral proteins for vaccines

    April 11, 2026

    Study links new coronavirus infection to increased lung cancer risk

    April 11, 2026

    Mezagitamab shows promise in treating patients with immune thrombocytopenia

    April 11, 2026
    Add A Comment
    Leave A Reply Cancel Reply

    Categories

    • Daily Health Tips
    • Discover
    • Environmental Health
    • Exercise & Fitness
    • Featured
    • Featured Videos
    • Financial Health & Stability
    • Fitness
    • Fitness Updates
    • Health
    • Health Technology
    • Healthy Aging
    • Healthy Living
    • Holistic Healing
    • Holistic Health & Wellness
    • Medical Research
    • Medical Research & Insights
    • Mental Health
    • Mental Wellness
    • Natural Remedies
    • New Workouts
    • Nutrition
    • Nutrition & Dietary Trends
    • Nutrition & Superfoods
    • Nutrition Science
    • Pharma
    • Preventive Healthcare
    • Professional & Personal Growth
    • Public Health
    • Public Health & Awareness
    • Selected
    • Sleep & Recovery
    • Top Programs
    • Weight Management
    • Workouts
    Popular Posts
    • the-pros-and-cons-of-paleo-dietsThe Pros and Cons of Paleo Diets: What Science Really Says April 16, 2025
    • Improve Mental Health10 Science-Backed Practices to Improve Mental Health… March 11, 2025
    • How Healthy Living Is Transforming Modern Wellness TrendsHow Healthy Living Is Transforming Modern Wellness… December 3, 2025
    • Kankakee_expansion.jpgCSL releases details of $1.5 billion U.S.… March 10, 2026
    • urlhttps3A2F2Fcalifornia-times-brightspot.s3.amazonaws.com2Fc32Fcd2F988500d440f2a55515940909.jpegA ‘reckless’ scrapyard with a history of… October 24, 2025
    • Healthy Living: Expert Tips to Improve Your Health in 2026Healthy Living: Expert Tips to Improve Your Health in 2026 November 16, 2025

    Demo
    Stay In Touch
    • Facebook
    • Twitter
    • Pinterest
    • Instagram
    • YouTube
    • Vimeo
    Don't Miss

    Although data are limited, the risk of bladder toxicity in psychiatric ketamine patients appears to be low

    By healthadminApril 12, 2026

    A new review of clinical studies suggests that people receiving ketamine for mental health conditions…

    Low doses of LSD alter emotional brain responses in patients with mild depression

    April 12, 2026

    Narcissistic traits are linked to brain regions responsible for emotional control

    April 12, 2026

    Neanderthals may have hunted and ate outsiders, horrifying cannibalism research reveals

    April 12, 2026

    Subscribe to Updates

    Get the latest creative news from SmartMag about art & design.

    HealthxMagazine
    HealthxMagazine

    At HealthX Magazine, we are dedicated to empowering entrepreneurs, doctors, chiropractors, healthcare professionals, personal trainers, executives, thought leaders, and anyone striving for optimal health.

    Our Picks

    Neanderthals may have hunted and ate outsiders, horrifying cannibalism research reveals

    April 12, 2026

    Can playing video games make kids feel better about their bodies?

    April 12, 2026

    Why Ozempic doesn’t work for everyone: Scientists have discovered the hidden reason

    April 12, 2026
    New Comments
      Facebook X (Twitter) Instagram Pinterest
      • Home
      • Privacy Policy
      • Our Mission
      © 2026 ThemeSphere. Designed by ThemeSphere.

      Type above and press Enter to search. Press Esc to cancel.