As people age, their blood and immunity gradually decline. The main reason is a decline in hematopoietic stem cells (HSCs), which are responsible for producing all types of blood cells. In a healthy state, these stem cells can regenerate themselves and create a balanced mix of blood cells. However, over time, their efficiency decreases. They produce fewer new cells, prefer certain types of cells such as myeloid cells over lymphoid cells, and are less able to support a strong immune response.
Several factors may cause this decline, including accumulation of cellular damage, changes in gene activity, chronic low-level inflammation, and changes in the bone marrow environment. Still, scientists do not fully understand how these various stresses combine to impair HSC function.
Investigation of major aging pathways
To better understand this process, researchers from the University of Tokyo in Japan and St. Jude Children’s Research Hospital in the US investigated how age-related stress affects HSCs. They focused on the receptor-interacting protein kinase 3 (RIPK3) mixed lineage kinase-like (MLKL) signaling axis, which is commonly associated with necroptosis, a form of programmed cell death.
The study was led by Dr. Masayuki Yamashita, an assistant professor at St. Jude Children’s Research Hospital. At the time of the investigation, the doctor was an assistant professor at the Institute of Medical Science, the University of Tokyo. Co-authors include Dr. Atsushi Iwama of the Institute of Medical Science, the University of Tokyo, and Dr. Yuta Yamada of St. Jude Children’s Research Hospital, who was a graduate student at the Institute of Medical Science, the University of Tokyo.
Surprising discoveries about MLKL
The research began with an unexpected observation. “We discovered an unexpected phenotype in HSCs from MLKL knockout mice treated repeatedly with 5-fluorouracil, in which age-related functional changes were markedly attenuated, although there was no detectable difference in HSC death, prompting us to investigate whether this pathway could induce functional changes beyond cell death,” explains Dr. Yamashita.
This finding suggested that MLKL could affect stem cell aging without actually killing the cells. This idea became the focus of a study that was published in Volume 17 of the Scientific Journal. nature communications April 6, 2026.
How scientists tested the mechanism
To explore this possibility, the researchers used several types of genetically engineered mice, including wild-type, MLKL-deficient, and RIPK3-deficient models. They also used a specialized reporter mouse designed to detect MLKL activation using a Förster resonance energy transfer-based biosensor.
Mice were exposed to various stress conditions that mimic aging, including inflammation, replicative stress, and oncogenic stress. To measure how well HSCs were functioning, the research team relied primarily on bone marrow transplants, which test the stem cells’ ability to rebuild the blood system.
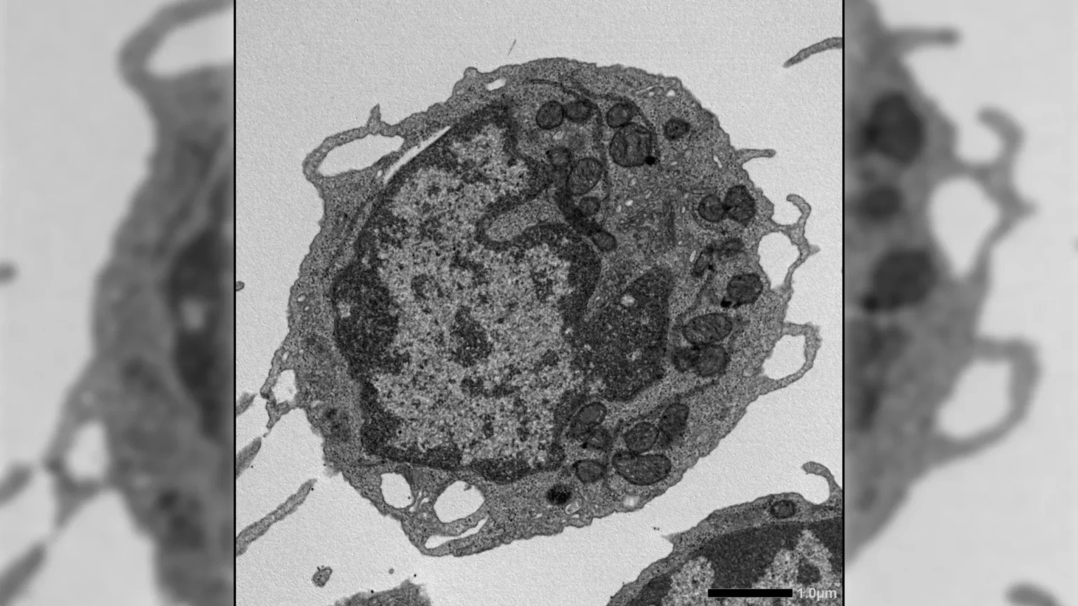
Additional techniques have provided deeper insights, including flow cytometry, ex vivo expansion, RNA-seq, transposase-accessible chromatin-seq assays, high-resolution imaging, metabolic testing, and detailed mitochondrial studies. Combining these approaches allowed the researchers to examine how MLKL affects HSCs at multiple levels.
Mitochondrial damage without cell death
The results revealed a previously unknown role for MLKL in stem cell aging. Although MLKL is normally associated with cell death, its activation in HSCs did not increase cell death or decrease cell number. Instead, it worked differently.
When activated under stress, MLKL transiently moved to mitochondria, the energy-producing structures in cells. There, damage was caused by a decrease in membrane potential, changes in mitochondrial structure, and decreased energy production. These effects resulted in important features of HSC aging, such as decreased self-renewal capacity, decreased production of lymphoid cells, and transition to production of myeloid cells.
Blocking MLKL preserves stem cell function
Many of these problems were significantly alleviated when MLKL was deleted or inactivated. HSCs lacking MLKL retained regenerative capacity, produced healthier immune cells, had less DNA damage, and maintained better mitochondrial function. These benefits were also seen in older animals and under stressful conditions.
Remarkably, these improvements were achieved without significant changes in gene expression or chromatin accessibility. This suggests that MLKL affects aging at the level of processes that occur after gene activation, particularly at the level of cellular structures such as mitochondria, rather than through changes in DNA regulation or inflammation.
Implications for aging and future treatments
The findings demonstrate a common pathway through which different types of cellular stress lead to mitochondrial damage and stem cell aging. This study provides new insights into how aging affects the blood system by identifying MLKL as a critical link in this process.
Dr. Yamashita emphasizes, “In the long term, this research could lead to treatments that preserve hematopoietic stem cell function, ultimately improving the recovery and long-term health of patients undergoing chemotherapy, radiation therapy, or transplantation. By revealing how non-lethal activation of cell death pathways accelerates stem cell aging, these findings could provide inspiration for new classes of mitochondrial-protective and necroptosis-modulating drugs.”
New understanding of stem cell aging
Overall, this study reveals that MLKL plays an important role in stem cell aging without causing cell death. Instead, they respond to stress by damaging mitochondria and weakening HSC function over time. This discovery challenges conventional thinking about necroptosis-related proteins and opens new possibilities for slowing or preventing age-related declines in blood and immune systems.

