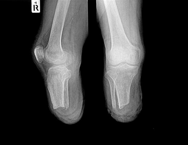
Three new studies from the Hospital for Special Surgery (HSS) focus on the use and benefits of osseointegration (OI) for amputee patients, and in some cases challenge common beliefs about which patients benefit. Osseointegration is a surgical procedure that allows a prosthetic limb to be attached directly to the bone of a person who has undergone an amputation, eliminating the need for a traditional socket prosthesis.
The study, which looked at the safety and outcomes of both femoral-level (above-knee) and tibial-level (below-knee) OI, was presented this week at the American Academy of Orthopedic Surgeons (AAOS) 2026 Annual Meeting in New Orleans.
Osseointegration is a major advance in the field of prosthetics for amputees, and interest is rapidly increasing. HSS has performed more OI procedures than any other hospital in the United States, treating more than 300 patients since 2017. We have found that osseointegration improves patient mobility, comfort, and quality of life when compared to standard socket prostheses. ”
Jason Helworth, MD, Director of Research, Limb Lengthening and Complex Reconstruction Services and Osseointegration Limb Replacement Center
Study 1: Femoral and Tibia Press-Fit Osseointegration – Comparison of Safety and Outcomes
“There are no studies in the scientific literature that focus on differences in safety and outcomes for patients who undergo transfemoral osseointegration compared to patients who undergo transfemoral osseointegration,” said Taylor J. Leaf, M.D., an orthopedic surgeon with the Center for Osseointegration and Limb Replacement at HSS, who published the study. Dr. Reif and colleagues set out to compare safety, clinical outcomes, and quality of life outcomes in these two patient groups.
Dr. Whalworth, a co-author of the study, noted that osseointegration was initially considered primarily for patients with femoral-level amputations. This is because the patient had a much worse use of the socket prosthesis than the tibial level amputee. “It was widely believed that patients with below-knee amputations function well with socket prostheses and therefore would not benefit significantly from osseointegration. Our study directly challenges that view.”
Researchers reviewed 147 OI procedures (83 at the femoral level and 64 at the tibial level). Both groups had significant improvements in mobility and overall patient satisfaction, and there were no significant differences in adverse event rates.
“Contrary to prevailing assumptions, our study found that tibial osseointegration patients have just as much to gain from surgery as femoral OI patients,” Dr. Reif said. “Therefore, lower extremity amputees who are not satisfied with their current socket prosthesis should undergo an osseointegration evaluation if they wish to pursue osseointegration options.”
Study 2: Initial amputation with osseointegration and osseointegration of existing amputation
HSS researchers set out to compare the safety and outcomes of patients who underwent osseointegration at the same time as amputation versus those who underwent osseointegration, which is more commonly performed on patients who have already had an amputation.
This study included patients who underwent lower extremity osseointegration with HSS and a minimum of 1 year of follow-up. There were 139 OI procedures, 81 at the femoral level and 58 at the tibial level. Fifteen patients underwent simultaneous amputation and OI (4 femurs, 11 tibias), whereas 124 patients underwent OI due to established amputation (77 femurs, 47 tibias).
The researchers found that both groups of patients who underwent osseointegration at the time of amputation and patients who underwent osseointegration at the time of amputation achieved comparable gains in mobility and quality of life. There were no significant differences in adverse events between the two groups.
“Our study challenges the current paradigm that amputees should first try a conventional socket prosthesis and only consider osseointegration if they are not satisfied with the prosthesis,” said Dr. Leaf, who published the study. “It would be reasonable to perform amputation and osseointegration simultaneously to select well-informed patients who wish to avoid artificial socket trials.”
Study 3: Safety and early experience with osseointegrated limb replacement with custom-fit implants
HSS researchers set out to examine initial results of osseointegration with custom-made 3D printed implants required to achieve the ideal fit for a specific patient.
“Some designs of press-fit osseointegration implants have standard curvatures and contours with patient-specific lengths, which can sometimes be difficult to match to the shape of the remaining bone,” Dr. Hoellwarth explained.
Dr. Leaf, who presented the research at the AAOS conference, said additive manufacturing using electron beam melting (EBM) allows for the production of precision osseointegration implants that provide an optimal fit, making it possible to reconstruct nearly any remaining bone segment to meet an individual’s anatomical needs.
HSS researchers retrospectively reviewed the records of 19 HSS patients who underwent osseointegration with custom 3D printed implants planned from preoperative CT scans. Patients included patients who underwent above-knee, below-knee, and above-elbow osseointegration surgery between May 2024 and March 2025.
The researchers found a statistically significant significant improvement in patient-reported outcome scores after OI, and a significant increase in prosthesis use was observed in patients who used a socket prosthesis before OI surgery.
Dr. Reif said the custom EBM osseointegration implant avoided intraoperative distal tip fractures that can occur when using standard OI implants, and there was no loosening of the custom implant. “We found that short-term functional outcomes were similar to standard osseointegration implants,” he added. “Further research is needed to evaluate the long-term results and durability of custom implants.”
Research 1 – Femoral and Tibia Press-Fit Osseointegration – Comparing Safety and Outcomes (Zachary Glassband BA, Taylor J. Reif MD FAAOS, S. Robert Rozbruch MD FAAOS, Jason S. Hoellwarth MD)
Research 2 – Initial Amputations with Osseointegration and Osseointegration for Existing Amputations (S. Robert Rozbruch MD FAAOS, Mohamed Abdelaziz Elghazy MD, Zachary Glassband BA, Taylor J. Reif MD FAAOS, Jason S. Hoellwarth MD)
Research 3 – Safety and Early Experience with Osseointegrated Limb Replacement with Custom-Fit Implants (S. Robert Rozbruch MD FAAOS, Zachary Glassband BA, Jason Hoellwarth MD, Taylor Reif MD FAAOS)
sauce:
Special surgery hospital

